Finnes det
virkelig kaniner med horn?  - Fibromatose
Esther van Praag Ph.D.
 
| 
   MediRabbit.com is funded solely by the
  generosity of donors.  Every donation, no matter what the size, is appreciated and will aid
  in the continuing research of medical care and health of rabbits.  Thank
  you     | 
 
Advarsel: Denne
artikkelen inneholder bilder som kan virke støtende.
 
          Det er funnet illustrasjoner fra 16- og 18-hundretallet som
  viser den legendariske ”hornete” kaninen, en hypotetisk krysning mellom
  antilope og hare. Flere naturforskere studerte den hornete haren og gav den
  det latinske, vitenskapelige navnet Lepus cornutus. Den ble populært
  kalt ”raurackl” eller ”stag-hare”.
  I dag blir det
  påstått at det ”hornete” hodet til Lepus cornutus faktisk ikke er
  oppspinn, men forårsakes av papillom- eller fibromsvulster. Disse typer
  hudsvulster oppstår ved at celler infiseres av smittsomt Shope-papillomvirus, Shope-fibromvirus eller
  leporipoxvirus. 
  
 Shope fibromvirusShope-fibromviruset, som ble oppdaget i 1931, finner man
  hovedsakelig hos amerikansk villkanin (Sylvilagus floridanus) i USA. Man
  innså raskt at viruset kunne overføres fra den amerikanske villkaninen til
  andre kaniner i områder der Shope-fibromviruset var endemisk i ville
  kaninbestander. Resultatet av virusangrepet kan ses i form av mikroskopiske
  lesjoner som kalles fibromer. 
  Viruset spres via smittebærende insekter som suger blod.
  Når en hudcelle blir angrepet, vil den gjennomgå en forvandlig som igjen
  fører til at en svulst dannes.
  Gjennom forskjellige eksperimentelle teknikker beviste R.
  E. Shope at fibromviruset er beslektet med myxomviruset. Denne egenskapen
  benyttes i dag ved å bruke Shope-fibromviruset til vaksinasjoner mot
  Myxomatose.
  Europeiske harer er kjent for å være
  bærere av leporipoxvirus, som er ansvarlig for fibromatosesykdommer.
  Tamkaniner er også mottakelige for dette viruset. Kliniske tegn er
  noduler/knopper (opp til 2,5 cm store) i ansiktet, øyelokkene, og rundt
  ørene. Måten det overføres på er ukjent. Kliniske tegn og diagnose
  Kliniske tegn for
  fibromatose ble grundig beskrevet av R. E. Shope i 1931. Svulster kommer til
  syne vesentlig på føtter og bein, og noen ganger også på ansikt, nese,
  øyelokk og rygg. 
  Denne sykdommen
  rammer sjeldent tamkaniner. Hos nyfødte kaniner og villkaniner forårsaker den
  alvorlige sykdommer. Hos voksne kaniner går svulstene ofte bort av seg selv
  over tid. Dette viruset er også kjent for å forårsake et mangfold svulster
  hos kveg. Første tegn til infeksjonen er en fortykkelse av overhudsvev. En
  myk veldefinert hevelse vokser sakte frem, og kan utvikle seg til en svulst
  med en diameter på 7 cm og en tykkelse på 2 cm. De største svulstene kan
  hindre normal aktivitet og bevegelse, og kan gjøre det vanskelig for kaninen
  å ta til seg føde.
  
 Svulsten består av
  bindevev. Underhudssvulster kan føre til skade på nærliggende vev som muskler
  og sener. I sjeldne tilfeller kan svulsten invadere muskelvevet.
  Vanligvis vil
  svulsten forsvinne av seg selv etter 10-14 måneder.
  Fibromsvulster må
  skilles fra myxom- og papillomsvulster. Fibromsvulsten er flat og befinner
  seg i underhudsvevet, mens papillomsvulsten ser ut som hornaktige vorter på
  hudens overflate.
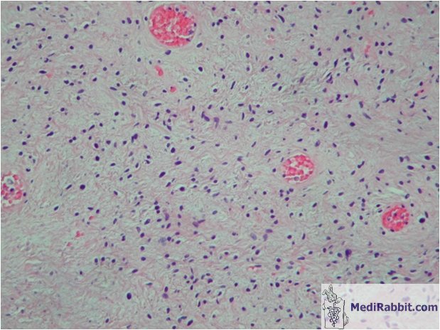
  Diagnose er basert
  på kliniske symptomer, og kan bekreftes med biopsiprøve. Histopatologisk
  undersøkelse av lesjoner i huden viser intracytoplasmatiske
  inklusjonslegemer. 
  Et virus som
  kalles ”det ondartede kaninfibromviruset” kan føre til fibrosarkom. Det viser
  antigene likheter med fibrom- og myxomvirus. Det er kanskje en rekombinasjon
  av disse to virusene, men dette er ennå ikke påvist. Viruset svekker
  immunforsvaret og forårsaker ondartede svulster og infeksjoner.
  
 Fibrosarkom
  begynner ofte i beinet, men kan også begynne i mykvevet og spre seg til benet
  ved direkte invasjon av en metastatisk celle via blodbanen. Hvis benet ikke
  rammes kan fibrosarkom oppdages i lunger, hjerte, nyrer og lymfeknuter.
  Behandling
  Kirurgisk
  fjerning anbefaler ikke fordi tilbakefall kan komme raskt og er vanligvis mer
  omfattende. Hvis eksisjon blir nødvendig, må det være bredt nok. For
  more details, see: “Fibrosarcoma in rabbits”.  For detailed information on
  fibrosarcoma in rabbits,  by E. van Praag, A.
  Maurer and T. Saarony,  408 pages, 2010. Takk til...
  Jeff Hymel og Akira Yamanouchi for tillatelse til å bruke
  fibrombildene fra VEIN (Veterinary Exotic Information Network,
  https://vein.ne.jp/ ).  Videre informasjon
  Hu J, Cladel NM, Pickel MD,
  Christensen ND. Amino acid residues in the carboxy-terminal region of cottontail
  rabbit papillomavirus E6 influence spontaneous regression of cutaneous
  papillomas. J Virol. 2002; 76(23):11801-8. Singh SB, Smith JW, Rawls WE,
  Tevethia SS. Demonstration of cytotoxic antibodies in rabbits bearing tumors
  induced by Shope fibroma virus. Infect Immun. 1972; 5(3):352-8.   Smith JW, Tevethia SS, Levy BM,
  Rawls WE. Comparative studies on host responses to Shope fibroma virus in
  adult and newborn rabbits. J Natl Cancer Inst. 1973; 50(6):1529-39.   Friedman-Kien AE, Fondak AA,
  Klein RJ. Phosphonoacetic acid treatment of shope fibroma and vaccinia virus
  skin infections in rabbits. J Invest Dermatol. 1976; 66(02):99-102. Block W, Upton C, McFadden G.
  Tumorigenic poxviruses: genomic organization of malignant rabbit virus, a
  recombinant between Shope fibroma virus and myxoma virus. Virology. 1985;
  140(1):113-24. Strayer DS, Cabirac G, Sell S,
  Leibowitz JL. Malignant rabbit fibroma virus: observations on the culture and
  histopathologic characteristics of a new virus-induced rabbit tumor. J Natl
  Cancer Inst. 1983; 71(1):91-104. Strayer DS, Sell S.
  Immunohistology of malignant rabbit fibroma virus--a comparative study with
  rabbit myxoma virus. J Natl Cancer Inst. 1983; 71(1):105-16. Strayer DS, Skaletsky E,
  Cabirac GF, Sharp PA, Corbeil LB, Sell S, Leibowitz JL. Malignant rabbit
  fibroma virus causes secondary immunosuppression in rabbits. J Immunol. 1983;
  130(1):399-404. Strayer
  DS, Skaletsky E, Leibowitz JL, Dombrowski J. Growth of malignant rabbit
  fibroma virus in lymphoid cells. Virology. 1987; 58(1):147-57.   | 
 
e-mail: info@medirabbit.com    
